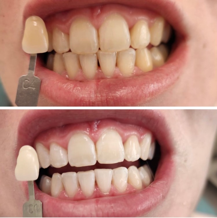
Sbiancamenti

Nel nostro studio gli sbancamenti dentali sono eseguiti dalla Dott.ssa Ninni. Scorri il carosello per visionare alcuni esempi!