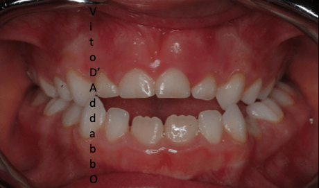
In alcune malocclusioni i denti superiori non coprono adeguatamente quelli inferiori con la presenza in alcuni casi di una beanza fra le due arcate. Questo può essere dovuto ad abitudini viziate come il succhiamento del dito, una deglutizione scorretta, una postura della lingua alterata o un problema scheletrico. In questo esempio il problema è associato ad una terza classe scheletrica.



prima



dopo – fase 1



dopo – fase 2





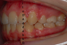
prima



dopo – fase 1





