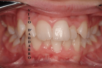
A causa di alcune malocclusioni il paziente presenta delle labbra “incompetenti”; il termine indica la mancata chiusura delle labbra in condizioni di tono muscolare labiale di riposo; in altri termini per chiudere le labbra il paziente contrae con sforzo la muscolatura orale.
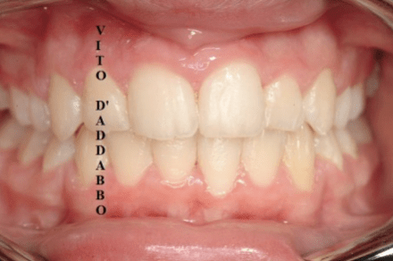
Se a questo problema si associa l’affollamento è imperativo eseguire un trattamento estrattivo per allineare i denti , migliorare il viso e il tono muscolare labiale.



prima



dopo



prima



