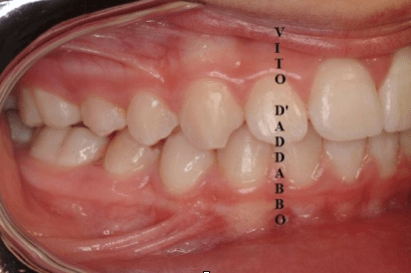
In una bocca che chiude correttamente i denti dell’arcata superiore sono collocati più esternamente rispetto ai corrispondenti dell’arcata inferiore. Nel morso inverso accade il contrario: in quello laterale sono i denti inferiori laterali a chiudere esternamente.
Questa malocclusione è il più delle volte dovuta a un mascellare piccolo, come nel caso riportato, dove manca anche lo spazio per l’incisivo laterale permanente di sinistra. I morsi incrociati vanno corretti precocemente perché possono provocare gravi asimmetrie del viso.



prima



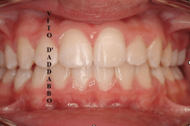
dopo



prima



