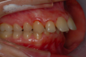
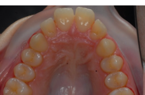
La protrusione dentale superiore è dovuta il più delle volte a un deficit di sviluppo della mandibola per cui i denti dell’arcata superiore risultano “sporgenti”, ma può essere dovuta anche a un ipersviluppo della mascella o ad una forma d’arcata superiore stretta ,come in questo caso ,che colloca i denti superiori in posizione avanzata.



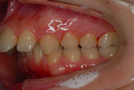
prima



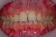
dopo





prima





